iContour

A web-based radiologist training with real-time feedback

Proudly with Weibel's Lab @ UCSD

Introduction

What is this site about?

iContour is a web-based contouring training system to address the challenges of traditional apprenticeship model in radiation oncology. Contouring is a vital process in radiology to outline target tumor volumes and organs at risk on medical images to guide radiation therapy treatment planning. The traditional apprenticeship model, however, is limited by the availability of faculty, lack of timely and flexible learning opportunities, as well as limited diversity in feedback. iContour aims to revolutionize the training of radiation oncology residents and clinicians and facilitate high-quality training resources and real-time, personalized feedback, better training residents to perform complex contouring tasks, ultimately to improved patient care.

Keywords: HCI Research, Web Interface, Healthcare, Interdisciplinary Project
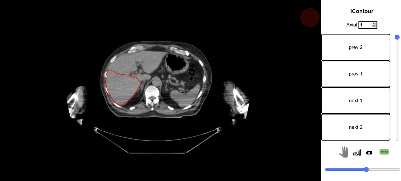
iContour interface

Overview

Context

In the field of radiation oncology, contouring is a vital step in treatment planning. The accuracy and efficiency of contouring directly impact patient care. The existing challenges in training methods necessitate a technology-driven solution to enhance the learning experience for residents and clinicians.

Problem

Traditional apprenticeship models in radiation oncology for contouring training face limitations such as faculty availability, inflexible learning opportunities, and inadequate feedback diversity, hindering effective skill development for residents.

Goal

The iContour project aims to revolutionize radiation oncology training by creating a web-based contouring training system. The goal is to provide real-time, personalized feedback, diverse learning opportunities, and improved user interfaces. Ultimately, the project strives to enhance the skills of residents, leading to improved patient care.

Time Frame

Jun. 2022 — Now

My Role

Researcher, UI/UX Designer, Full Stack Developer

Platform

Web, Python, Jupyter Notebook, Ubuntu Server

Team

PI: Nadir Weibel
PhD Students at time: Matin Yarmand, Chen Chen
Undergraduate Researchers: Borui Wang, Kexin Cheng, Peter Liu
Radiologists: Michael Sherer, James Murphy

Design

Current Design

iContour Now

After I conducted the participatory design protocols with clinicians and meet with them to get their feedbacks, I discovered that they perform both fast and precise navigations of the slides, and they prefer not to switch between mouse and keyboard often. Based on their needs, I implemented a scrolling slide selector to allow for fast yet accurate slide browsing. Clinicians can scroll to quickly get to a distant slide, click on a number to go directly to one slide, or use arrow keys to peek between adjacent slides.

Since I joined the team after they've done the initial user research and design, I focused on improving their current design system and user experience.

Previous Design (June 2022)

iContour Before

Before I joined, the web interface only provided four buttons and one numeric input to change medical image slides. Clinicians can go forward or backward by one or two slides, and they can go directly to a slide by inputting the slide index.

However, this interaction requires frequent mouse clicks in different locations, and it is hard to preview the trend the images over a long range.

Highlights

Digital Crown

Radiologists often need to slide between two or more images to compare and see trends between them. So I designed a scrolling "crown" to navigate between slices. The digital crown can be slide with finger, stylus, and mouse wheel. For a more precise control, users can tap on a specific slice number and the crown will automatically scroll to that slice. This redesigned way of navigation is well-praised within test users for its ease of use and efficiency.

Digital Crown Demo

Information Panel

On the top of the sidebar, there's an information panel that is used to display patient information, task description, and calculated results. Design choices are carefully made to provide users with a smooth experience.

Result display 1 Result display 2 Result display 3 Result display 4

Backend Developing

Python

Apart from the front-end, I also actively contribute to the back-end of the project. After the last undergrad left the team in August, I took all the developing and designing work for the team — from HTML to Python to Command line. The project relies on the backend to store medical data, calculate toxicity values, and run the machine learning model, they communicate through API calls. I started by reading the codes, then fixing some bugs, then adding more features.

Jupyter Notebook

This project relies on machine learning model to predict toxicity values. To visualize input and output data and debug, I'm running a Jupyter server to show these data in real-time. Thanks to Jupyter's mechanism, I'm able to see the data and changes immediately without restarting the server. This greatly facilitated my developing speed.

Linux Command Line

This project runs on a AWS machine, so command line is used to make all the changes in the server. I'm able to skillfully use command line to manipulate the server, to make changes to the machine, and to debug the site.

Latest Developments: Intelligent Tutoring System in Contouring

Building on iContour's success, we are now developing an Intelligent Tutoring System for contouring, the first of its kind in the medical domain.

Key Features

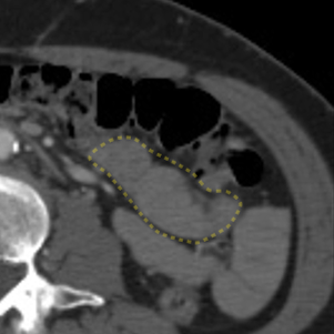
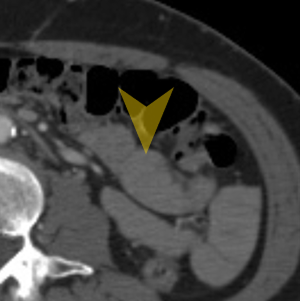
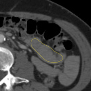
Arrow closeup 1 Dashed closeup 2 Smoothed closeup 3

Publications & Recognition

Results From a Multi-Institutional Pilot Study of iContour, an Interactive Online Platform with Real-Time Feedback to Improve Contouring Education for Radiation Oncology Residents

M. E. Orr, A. Dornisch, E. A. M. Duran, M. Yarmand, B. Wang, N. Weibel, E. F. Gillespie, J. D. Murphy, and M. V. Sherer

https://doi.org/10.1016/j.ijrobp.2023.06.1825

American Society for Therapeutic Radiology and Oncology (ASTRO 2023)

Design and Development of a Training and Immediate Feedback Tool to Support Healthcare Apprenticeship

M Yarmand, B Wang, C Chen, M Sherer, L Hernandez, J Murphy, N Weibel

Extended Abstracts of the 2023 CHI Conference on Human Factors in Computing Systems, 2023

https://doi.org/10.1145/3544549.3585894

Design-thinking Workshops and Survey to Assess Approaches for Contouring Feedback Exchange in Radiation Oncology

Kexin Cheng, Matin Yarmand, Michael V. Sherer, Chen Chen, Borui Wang, Nadir Weibel, James D. Murphy

The 2023 Radiation Oncology Summit (ACRO), Lake Buena Vista, FL

Want to Know More?

Visit the site and try by yourself! Put <YourName>_1_11_3 in the popup on the site.